Offene Ellenbogeneingriffe
ELLENBOGENINSTABILITÄT
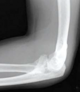
Bei einer Ellenbogenverrenkung (Luxation) (Abb. 60) kann es zu erheblichen Verletzungen der Knochen und der Weichteile kommen. Die unkomplizierte Luxation, die schnell einer Einrenkung (Reposition) zugeführt wird, heilt in den meisten Fällen auch unter konservativen Maßnahmen aus. Liegen jedoch so erhebliche Schädigungen vor, dass eine sofortige Instabilität verbleibt oder der Weichteilschaden zu groß ist, wird die operative Stabilisierung notwendig.
Auch nach konservativer Behandlung kann es zu einer verbleibenden Instabilität kommen, die sich darin äußern kann, dass der Ellenbogen tatsächlich wieder auskugelt oder bei bestimmten Bewegungen und Belastungen sich nicht mehr sicher anfühlt, weil diese zu einer Subluxation führen und der Arm „wegknickt“ oder schmerzt. Führt die Luxation gar zu knöchernen Verletzungen, ist in der Regel eine Operation unumgänglich.
Technik
Akut
Nach einer akuten Luxation mit Weichteilschäden ohne knöcherne Beteiligung wird je nach Schädigungsort außen- oder innenseitig (lateral oder medial) der Bandapparat rekonstruiert. Ist nur der äußere oder innere Anteil betroffen kann der Hautschnitt entweder auf der betroffenen Seite gemacht werden oder es erfolgt der klassische hintere Hautschnitt. Das Gewebe wird dargestellt und entweder direkt am ausgerissenen Gewebeanteil befestigt oder bei Ausrissen aus dem Knochen mittels Nahtankersystemen am Knochen refixiert (Abb. 61).
Chronisch
Bei chronischen Instabilitätszuständen ist eine direkte Naht der betroffenen Weichteile nicht mehr möglich und man muss Alternativverfahren wählen. Ähnlich der Ersatzplastik des vorderen Kreuzbandes am Kniegelenk mittels Semitendinosus-Sehne wird hierbei ein Transplantat aus der Palmaris-longus-Sehne oder ein Streifen aus der hinteren Trizepssehne entnommen. Diese Transplantate werden dann durch die ursprünglichen Ansatzpunkte am Ober- und Unterarm geführt und dort mittels Knochentunneln oder Nahtankern befestigt (Abb. 62, 63).
OPERATION BEI KNÖCHERNEN VERLETZUNGEN
Operation bei knöchernen Verletzungen
Bei zusätzlichen Knochenbrüchen im Rahmen einer Luxation müssen diese mitbehandelt werden, da das Ellenbogengelenk vor allem knöchern geführt wird. Je nach Ausprägung müssen offene Osteosyntheseverfahren mit Schrauben und Platten an der Elle (Ulna), Speiche (Radius) und dem unteren Oberarm (distaler Humerus) vorgenommen werden. Eine besondere Bedeutung kommt dabei dem Processus coronoideus zu, der die Stabilität in
Streckung unterstützt. Auch das Radiusköpfchen kann so erheblich verletzt sein, dass eine Rekonstruktion nicht möglich ist und dann dieses entfernt werden muss. Die Entscheidung, dann eine Radiusköpfchenprothese zu implantieren, hängt von der verbleibenden Instabilität ab. Liegt eine starke mediale Instabilität vor, kann als sekundärer Stabilisator eine solche Prothese implantiert werden.
Nachbehandlung
In der Regel muss für 6 – 8 Wochen eine Ellenbogen-Orthese mit limitiertem Bewegungsumfang getragen werden. In dieser Zeit erfolgt die langsame Mobilisierung des Gelenks unter krankengymnastischer Anleitung. Arbeitsfähigkeit erreicht man bei geringer körperlicher Arbeit nach 4 Wochen, bei schwerer Arbeit frühestens nach 3 Monaten. Sport ist erst nach 6 Monaten erlaubt.
AKUTE KNOCHENBRÜCHE
Obwohl wir keine Notfallpraxis sind können Sie sich jederzeit nach telefonischer Anmeldung auch mit frischen Knochenbrüchen im Bereich des Ellenbogengelenks an uns wenden.
Bewegungseinschränkungen
Bewegungseinschränkungen können durch eine Vielzahl von Verletzungen bedingt sein und können durch arthroskopische oder offene Verfahren behandelt werden.
EPICONDYLITIS
(TENNIS- BZW. GOLFERELLENBOGEN)
Bei der Epicondylitis liegt eine chronische Entzündung der Sehnenansätze am äußeren oder inneren Epicondylus des Ellenbogens vor. Meist besteht auch eine Degeneration (natürliche Alterung), die die Behandlung erschwert. Betroffen sind nicht nur, wie der Name sagt Tennisoder Golfspieler, sondern Menschen, die privat oder beruflich viele Arbeiten mit den Händen ausführen müssen. Insbesondere Menschen mit einem Computerarbeitsplatz, die häufig die Maus benutzen müssen, klagen über diese Beschwerden, aber auch Patienten, die schwere Haltearbeiten oder sich wiederholende Tätigkeiten wie Schraubendrehen etc. durchführen müssen.
Konservative Behandlung
Behandelt man die Epicondylitis früh, ist es in der Regel möglich, die Beschwerden rasch zum Abklingen zu bringen.
Lokale Maßnahmen wie Friktionsmassagen, Iontophorese und eine nach Schmerzlinderung vorsichtige Dehnung und Kräftigung der betroffenen Muskulatur bringt Beschwerdelinderung. Schonung in dieser Phase ist wichtig. Ferner kann dann zur Prophylaxe der Arbeitsplatz mit Hilfsmitteln ausgestattet werden. Hierzu zählen Mouse-Pads mit einem kleinen Gelkissen und Gelleisten vor der Tastatur, die eine Entlastung für die überbeanspruchten Finger- und Handgelenksstreckmuskeln bewirken.
Bei stetiger Belastung ist auch das Tragen einer Epicondylitis-Bandage sinnvoll.
Injektionen mit einem lokalen Anästhetikum und Corticoidbeimischung sollten nur bei akuten und starken Schmerzen und nur kurzfristig verabreicht werden, da das Kortison langfristig das Sehnengewebe schädigen kann.
Ruhigstellungen im Gips sind heutzutage bei den Patienten unbeliebt und sicher auch nicht vereinbar mit unserer anspruchsvollen Arbeits- und Freizeitwelt.
Operative Behandlung
Ziel
Wenn alle oben genannten Anwendungen auch nach frühestens 6 Monaten nicht zu einer Beschwerdefreiheit führen, ist die Indikation zur Operation zu stellen. Hierbei soll eine schmerzfreie Funktion der betroffenen Muskeln wiederhergestellt werden.
Technik
Hierbei wird in der von uns bevorzugten Technik nach Nirschl der krankhaft veränderte Anteil der Sehne des Musculus extensor carpi radialis brevis (ECRB) entfernt und der Knochen im Bereich des Epicondylus mehrfach angebohrt, so dass Blut heraustritt (Abb. 58). Durch die im Blut enthaltenen Zellen und Stoffe kommt es dann nach Naht der Sehnenansätze zu einer erneuten Heilung des Gewebes auf dem Epicondylus. Dieser Eingriff erfolgt in einer offenen Technik mit einem Hautschnitt von ca. 4 cm.
Nachbehandlung
Die Nachbehandlung sieht eine Ruhigstellung von einer Woche in einer anklettbaren Schiene vor. Danach beginnt die vorsichtige Nachbehandlung unter krankengymnastischer Anleitung nach einem von uns ausgearbeiteten Schema.
Nach ca. 8 Wochen sollte dann die berufliche Tätigkeit schmerzfrei möglich sein, nach frühestens 3 Monaten jedoch erst wieder Sport getrieben werden. Die Nachbehandlung beim Golferellenbogen ist erfahrungsgemäß etwas länger.
Unsere Erfahrung und Ergebnisse zeigen eine 95%-ige Patientenzufriedenheit mit diesem Vorgehen.
DISTALE BIZEPSSEHNENRUPTUR
Bei übermäßiger Anspannung oder Überlastung der Bizepssehne im Ellenbogen kann diese akut reißen (Abb. 66). Da der Bizeps für die Beugung und die Unterarmdrehbewegungen verantwortlich ist, sollte die operative Refixierung empfohlen werden.
Technik
Durch einen Z-förmigen Schnitt in der Ellenbogenbeuge wird zunächst die gerissene Sehne aufgesucht und dargestellt. Dann wird der Ansatzbereich an der Speiche freigelegt und nach dem Vorbohren eines Lochs wird die Sehne über transossäre Nähte im Knochen befestigt.
Nachbehandlung
2-wöchige Ruhigstellung in einer anklettbaren Schiene und begleitende Physiotherapie für insgesamt 8-12 Wochen bringen dann eine in der Regel sehr zufrieden stellende Funktion zurück.
NERVUS ULNARIS-SYNDROM
Der Nervus ulnaris verläuft am Ellenbogen durch eine Engstelle am unteren Oberarm, dem Sulcus ulnaris. In diesem Bereich ist der Nerv sehr oberflächlich gelegen, was jeder schon einmal als „Musikantenknochen“ erfahren hat. Hier kann der Nerv durch Weichteile chronisch eingeengt werden, was zu Gefühlsstörungen mit Kribbeln oder Taubheit führt.
Technik
Ziel ist es, den Nerv aus seinen Einengungen zu befreien. Hierzu wird der Nerv oberhalb des Ellenbogens aufgesucht und aus seinem Bett herauspräpariert und weit nach unten verfolgt (Abb. 67). Ist die Einengung sehr stark ausgeprägt, wird der Nerv dann nach vorne verlagert und dort in einem Bett aus subkutanem Fettgewebe eingebettet.
Nachbehandlung
Zweiwöchige Schonung und vorsichtiges Mobilisieren sind wichtig für eine gute Heilung. Arbeitsfähigkeit besteht nach 2- 6 Wochen, je nach Schwere der Belastung des Arms. Die Rückkehr des Gefühls oder der motorischen Funktion hängt von der Dauer der präoperativen Beschwerden ab.








