Presse
Prof. Habermeyer und Assoc.-Prof. PMU Salzburg Tauber sind FOCUS TOP-Mediziner 2016
Am 21. Juni 2016 erscheint die renommierte FOCUS-Ärzteliste 2016 - Deutschlands TOP-Mediziner - für alle Fachbereiche. In der aktuellen Ausgabe von FOCUS GESUNDHEIT zum Thema "Starke Gelenke - Wissenschaftler [...]
Assoc.-Prof. PMU Salzburg Tauber und PD Dr. F. Martetschläger als geladene Referenten beim 17. ESSKA Kongress in Barcelona
Assoc.-Prof. PMU Salzburg Tauber und PD Dr. F. Martetschläger waren vom 4.-7.5.2016 als geladene Referenten beim 17. ESSKA Kongress in Barcelona. In seinen Vorträgen erläuterte Assoc.-Prof. PMU Salzburg Tauber [...]
PD Dr. Martetschläger beim 5. Tübinger Arthroskopie Symposium als geladener Referent und Instruktor
PD Dr. Martetschläger war geladener Referent und Instruktor beim 5. Tübinger Arthroskopie Symposium "Schulter" am 06. und 07. Mai 2016 in der Berufsgenossenschaftlichen Unfallklinik Tübingen (In Kooperation mit der Klinischen [...]
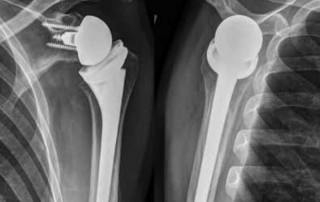
Irreparable Rupturen der Rotatorenmanschette
Ein Überblick über die aktuellen Therapieoptionen MÜNCHEN - Die operative Behandlung der nicht rekonstruierbaren Rotatorenmanschetten-Läsion stellt eine Herausforderung für den behandelnden Orthopäden dar. Allerdings stehen heute ausgezeichnete arthroskopische und [...]
Naldo vom VfL Wolfsburg erfolgreich von Assoc.-Prof. PMU Salzburg Tauber an der rechten Schulter operiert
Nach seiner Schulterverletzung im Bundesligaspiel gegen den FC Bayern wurde der 33-Jährige Mannschaftskapitän vom VfL Wolfsburg vergangene Woche von Assoc.-Prof. PMU Salzburg Tauber vom Deutschen Schulterzentrum in München an [...]
Prof. Habermeyer in tz-Report 2016 „Die Schulter“ unter Münchner Top-Ärzten
Im tz-Report 2016 "Die Schulter" wurden erfahrene Spezialisten, so auch Prof. Habermeyer vom Deutschen Schulterzentrum in München, zu den Möglichkeiten bei Schulterbeschwerden befragt. Einführung des tz-Report 2016 "Die Schulter": Wenn [...]





